Borrar
Imagen de microscopía electrónica de transmisión del primer caso de Covid-19 detectado en EE UU. Se observan las partículas esféricas virales, coloreadas en azul, colonizando orgánulos funcionales del citoplasma de una célula infectada. CDC/ Hannah A Bullock; Azaibi

La 'misteriosa' proliferación de trombos en los enfermos de Covid-19

La coagulación de la sangre es un mecanismo de defensa orgánica que surgió hace unos 430 millones de años

Manuel Peinado Lorca y José Miguel Sanz Anquela

Miércoles, 13 de mayo 2020, 12:45

Comenta

El ingreso en un hospital del secretario general de Vox, Javier Ortega Smith, ha sembrado desconcierto sobre la aparición de trombos, una manifestación sintomática de la Covid-19 que no es misteriosa en absoluto, aunque sí pueda ser preocupante. La coagulación de la sangre es un mecanismo de defensa orgánica que surgió hace unos 430 millones de años. Este mecanismo ha representado una ventaja evolutiva en vertebrados.

Los humanos, como el resto de los vertebrados, estamos expuestos a las hemorragias y les hacemos frente gracias a la trombogénesis. Los primeros humanos estaban constantemente en peligro de desangrarse tras sufrir terribles heridas en la caza o en la guerra. Somos los descendientes de aquellos ancestros y por eso somos trombogénicos por naturaleza.

Pero en el antagonismo hemorragia versus trombogénesis se produce un típico caso de paradoja pleiotrópica: a edades avanzadas morimos muchas más veces de trombosis que de hemorragia. La formación de trombos, que nos ha salvado tantas veces la vida conteniendo las hemorragias, pasa factura en las enfermedades que cursan con anomalías endoteliales, entre ellas la Covid-19.

Semanas atrás aparecieron noticias alarmistas que ponían el acento en la «misteriosa» proliferación de trombos que estaba matando a los infectados por coronavirus en los que provocaba infartos cerebrales y de corazón, además de lesiones isquémicas cutáneas. Como no podía ser menos en los tiempos que corren, las redes generaron un bulo desmentido por Newtral.

Figura 1. Las tres fases de la Covid-19. A medida que la enfermedad se agrava aumentan determinados parámetros analíticos como el dímero-D, indicador de la existencia de niveles anormales de fibrina y, por tanto, de trombosis. Siddiqi & Mehra

En los casos de Covid-19 no hay misterio alguno en la formación de coágulos de sangre dentro de vasos de pequeño calibre. Desde el principio de la pandemia los científicos chinos detectaron este hecho. El 31 de enero patólogos de hospitales de Wuhan ya habían comenzado a realizar autopsias, cuyos resultados fueron recogidos el 9 de marzo en la revista The Lancet.

El artículo, que analiza información de 191 pacientes chinos, 54 de ellos fallecidos durante el mes de enero, documentaba la alteración de la coagulación que conducía a la formación de trombos en los enfermos más graves, un síntoma que las autoridades chinas ya habían incluido en el manual de gestión de la enfermedad publicado el 18 de febrero.

Otros estudios publicados con posterioridad realizados con pacientes holandeses, italianos y estadounidenses confirmaron lo que los médicos de todo el mundo ya sospechaban: uno de los marcadores de mal pronóstico en la Covid-19 eran los análisis que detectaban la formación de trombos (Figura 1).

Por eso los pacientes fueron tratados sistemáticamente con heparinas de bajo peso molecular, unos anticoagulantes muy empleados en todo tipo situaciones con riesgo de formación de trombos.

¿Por qué se produce la trombosis?

La Covid-19 es una enfermedad cuyas dianas son los epitelios glandulares de las vías respiratoria y digestiva, pero el virus también tiene tropismo por los endotelios. Es una infección vírica asociada a una repuesta inflamatoria sistémica, a una neumonía intersticial aguda y a la activación de la coagulación tanto a nivel pulmonar, como en el resto de los órganos.

La sangre es un tejido líquido en equilibrio inestable, que cuando está fuera de nuestro cuerpo coagula. También coagula dentro, cuando se estanca la circulación en venas varicosas (trombosis), o cuando las venas se inflaman (tromboflebitis). Cuando la sangre está en circulación, la coagulación es mínima y está neutralizada por el sistema fibrinolítico.

Los coágulos o trombos reciben su nombre de la trombina, una enzima que convierte el fibrinógeno en fibrina. El fibrinógeno es una proteína soluble del plasma sanguíneo que actúa como precursor de la fibrina, una proteína fibrilar que precipita formando una red en la que quedan atrapados los elementos de la sangre formando coágulos y trombos. Cuando se produce una herida, la respuesta adrenérgica y el daño vascular (lesión endotelial) liberan trombina y otras moléculas que desencadenan una cascada de factores de la coagulación: crece el trombo de fibrina y esta actúa como una especie de pegamento taponando las heridas.

A su vez, la fibrina es degradada por otro sistema de defensa, el sistema fibrinolítico, con formación de una molécula marcadora de dicha actividad: el dímero-D. La presencia en las analíticas a determinadas concentraciones de dímero D es indicadora de la existencia de niveles anormales de fibrina y, por tanto, de trombosis, es decir, de la formación de coágulos sanguíneos en arterias o venas.

Figura 2. Cambios temporales en los niveles de dímero-D desde el inicio de la enfermedad en pacientes hospitalizados con Covid-19. Modificada a partir de Zhou et al. 2020. Zhou et al. 2020.

Los investigadores chinos ya habían publicado el 9 de marzo la relación entre el dímero-D y la gravedad de la Covid-19. En la Figura 2 puede comprobarse cómo, a medida que transcurren los días, en los pacientes que van a fallecer va aumentando el riesgo de formación de trombos, cuyo indicador es el incremento en los niveles de dímero-D.

Tanto las células epiteliales respiratorias y digestivas, como las células endoteliales que tapizan toda la superficie interna de los vasos sanguíneos, tienen unas cerraduras (receptores) que abre el SARS-CoV-2. La llave del virus es una proteína espiculada de su cápsula. El virus entra al cuerpo a través de la nariz, la boca o los ojos y después se aferra a las células epiteliales y endoteliales que presentan en su membrana externa numerosos receptores ACE2.

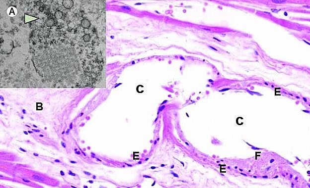
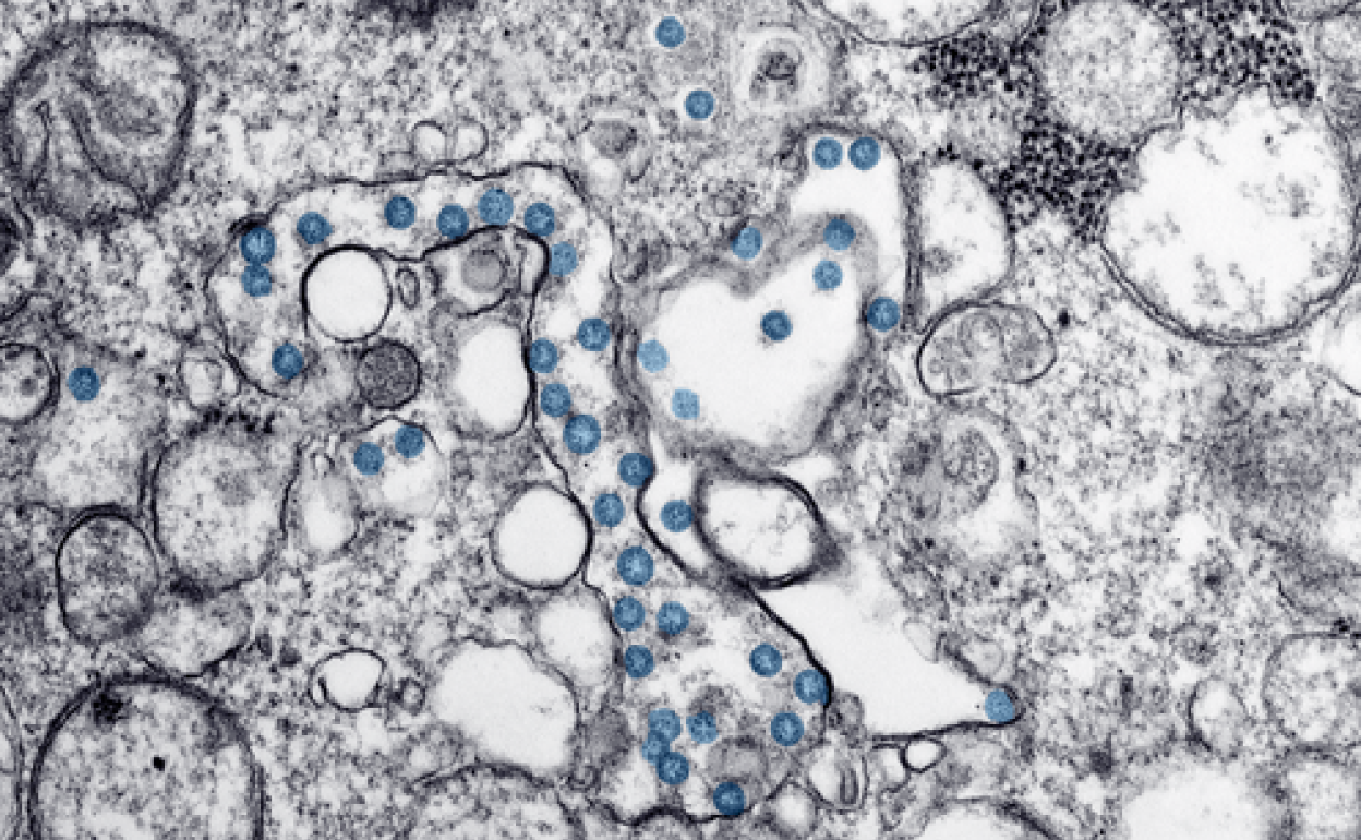
Figura 3. Imágenes de microscopía electrónica de transmisión (A), y microscopía óptica, tinción H&E, de corte histológico de músculo cardíaco (B-H), en paciente con Covid-19 fallecido por infarto de miocardio. El corte procede del músculo cardíaco conservado, no afectado por el infarto. A: detalle de porción citoplásmica de célula endotelial cargada de virus. Los agregados de partículas virales (flecha), se muestran como círculos densos con centro claro. B: estroma conectivo laxo edematoso de músculo cardíaco, con vaso sanguíneo dilatado (C). D: células musculares cardíacas conservadas (cardiomiocitos). E: células endoteliales reactivas que tapizan el vaso, con restos de fibrina adheridos (F), y algunos linfocitos dispersos bajo el endotelio (G). H: hematíes dentro de la luz del vaso. El grado de endotelitis es mínimo, casi imperceptible en microscopía óptica. Varga et al. 2020

Tanto las células epiteliales de los alvéolos pulmonares (neumocitos) como los endotelios vasculares disponen de receptores ACE2 en abundancia. Este receptor es la cerradura que encaja a la perfección con la proteína espiculada del virus, de forma que estas células abren sus puertas de par en par a la entrada del coronavirus, lo que provoca una endotelitis, es decir, una inflamación del endotelio vascular (Figura 3).

¿Cómo se combate la formación de trombos?

El hecho de que se presente coagulopatía en los pacientes con Covid-19 ha promovido que se planteen estrategias antitrombóticas, sobre todo en los pacientes que ingresan en la UCI y muestran daño orgánico o episodios isquémicos. Si bien aún no se ha establecido la mejor estrategia antitrombótica, parece que las heparinas de bajo peso molecular a dosis profilácticas o intermedias están indicadas cuando los valores de dímero-D sean superiores a los normales. La anticoagulación terapéutica se reserva para los casos en los que se ve una clara patología trombótica local o sistémica.

En cuanto al uso de la aspirina que propugnan algunas redes sociales, remitimos a este contundente y esclarecedor artículo. La aspirina como antiagregante disminuye el riesgo trombótico de ateromas, pero no sirve ni siquiera para amortiguar los trombos causados en el síndrome de la clase turista o trombosis del viajero.

Este artículo ha sido publicado en The Conversation.

Publicidad

Publicidad

Publicidad

Publicidad

Esta funcionalidad es exclusiva para suscriptores.

Reporta un error en esta noticia

* Campos obligatorios

laverdad La 'misteriosa' proliferación de trombos en los enfermos de Covid-19

La 'misteriosa' proliferación de trombos en los enfermos de Covid-19