Borrar
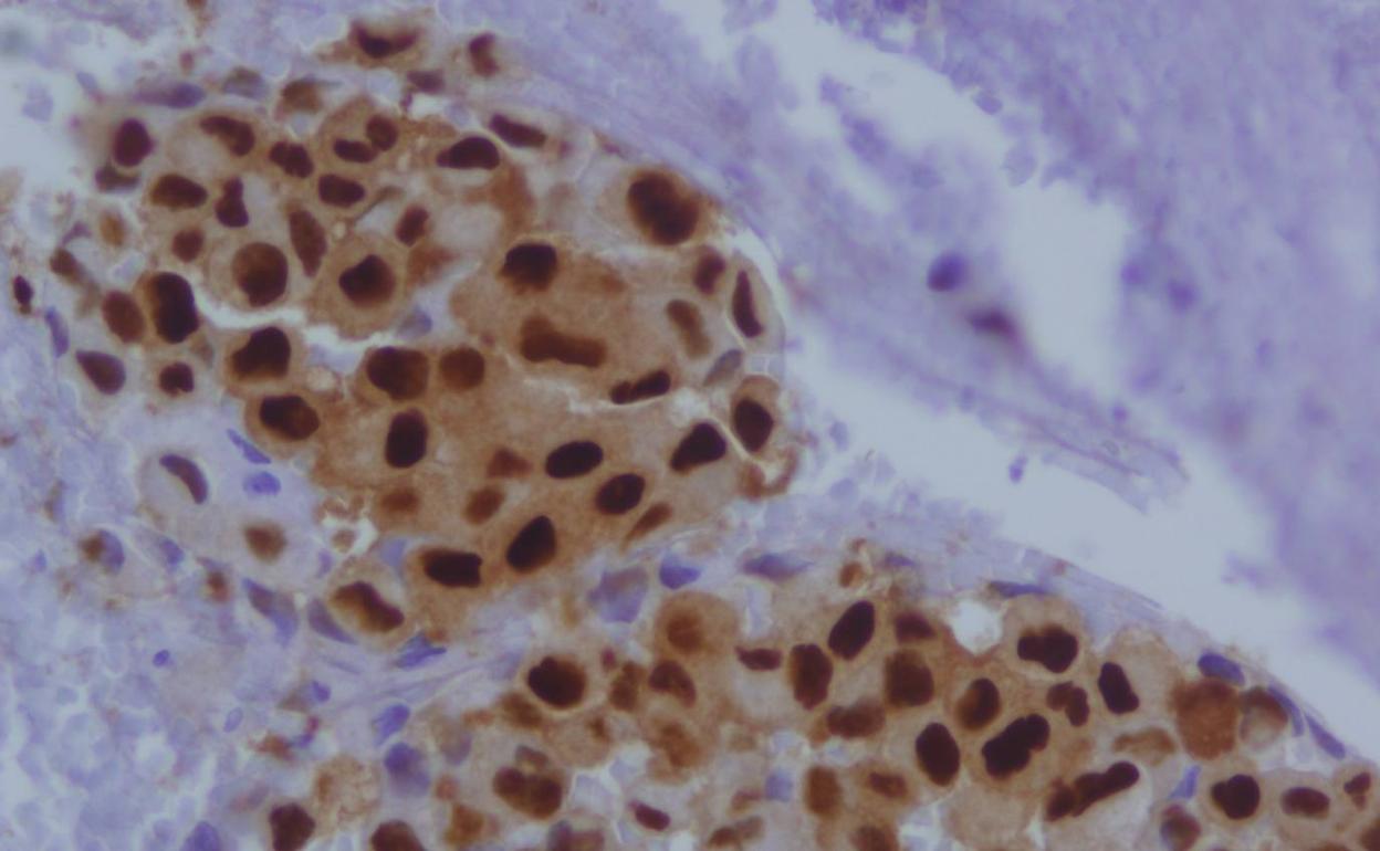
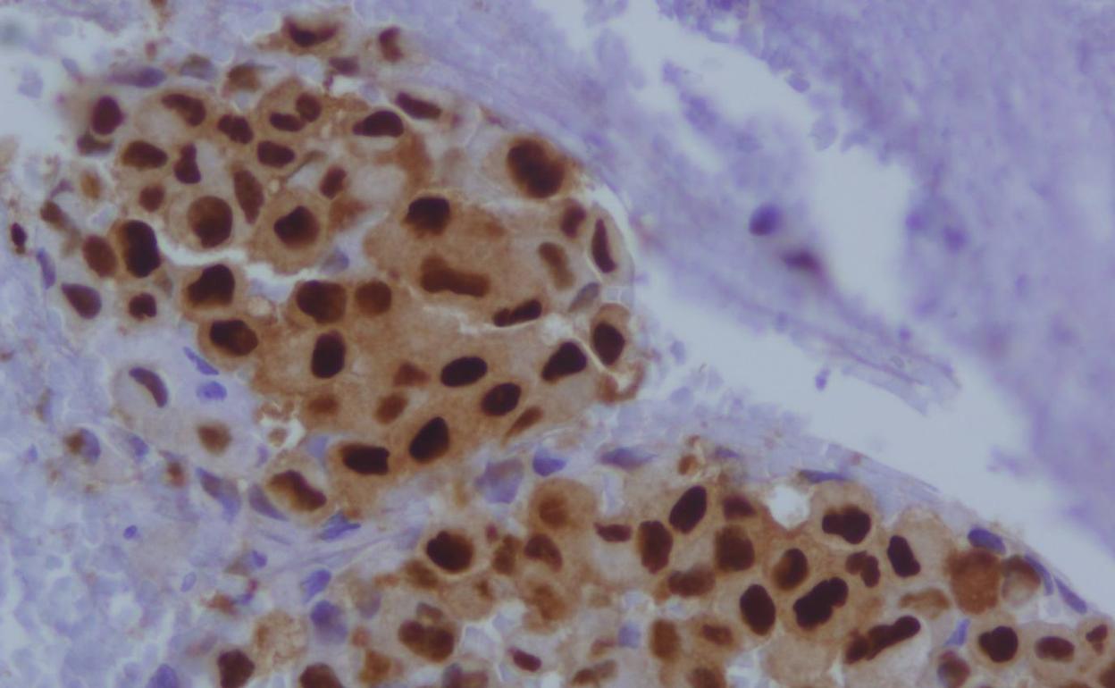
Células afectadas por metástiasis en una mama. R.C.

Un estudio sin precedentes abre la posibilidad de detectar el cáncer antes de que aparezca

La colaboración de 1.300 científicos descifra los secretos genéticos de 38 tumores tras analizar más de 2.600 genomas

Miércoles, 5 de febrero 2020, 19:38

Comenta

Queda mucho por hacer. Solo se trata de planteamientos teóricos, pero esconden numerosas enseñanzas para conseguir un objetivo común: curar el cáncer. Pero el paso que se dió este miércoles es titánico. La revista 'Nature' y sus revistas afiliadas publicaron 22 artículos donde un conglomerado científicos construye el mapa genómica del cáncer más importante de la historia y descubre causas que hasta ahora eran ignotas. El consorcio Pan-Cáncer para el Análisis de Genomas Completo (PCAWG, en sus siglas en inglés) ha reunido a más de 1.300 científicos y médicos de 37 países han logrado secuenciar el genoma de 2.658 muestras cancerígenas correspondientes a 38 tipos de tumores.

Las mutaciones permiten a las células alterar sus mecanismos para relacionarse con su entorno. En el cuerpo humano se producen miles de millones de estas mutaciones, pero solo una pequeña parte puede terminar en cáncer. La identificación de esas variaciones ha sido una de las obsesiones de los científicos en las últimas décadas y una de las áreas de investigación con más crecimiento, que se puede ampliar con el estudio publicado por 'Nature'. El estudio afirma que los genomas analizados sufren de media entre cuatro y cinco mutaciones relevantes. Empero, en el 5% de los tumores no se ha podido identificar ninguna mutación, lo que significa que la investigación en este campo debe proseguir. La magnitud de la iniciativa es sorprendente. Estudios anteriores se habían centrado en el 1% del genoma, es decir, en el análisis del exoma (el fragmento del ADN encargado de codificar las proteínas); el PCAWG exploró el 99% restante, incluidas las zonas que controlan la activación y desactivación de los genes.

El Proyecto Pan-Cáncer, una colaboración entre más de 1.300 científicos y médicos de 37 países

«La construcción del genoma del cáncer solo con los datos del exoma es como hacer un puzle de cien mil piezas sin el 99% de las piezas y sin la imagen de la caja», explica de forma gráfica el doctor Lincoln Stein, uno de los científicos que han pilotado el proyecto, en un comunicado del Instituto de Ontario para la Investigación sobre el Cáncer (Canadá). «Los conocimientos acumulados sobre el origen y la evolución de tumores podría permitir desarrollar nuevos útiles para detectar los cánceres antes, así como (desarrollar) terapias más personalizadas, para tratar a los pacientes más eficazmente», indica a AFP.

¿Qué aportan todos estos artículos? Mejor conocimiento de las mutaciones genéticas que provocan la multiplicación de células cancerosas, similitudes a veces sorprendentes entre diferentes tipos de cáncer o extrema variedad de tumores de un individuo a otro. «El hallazgo más impactante es la diferencia que puede haber entre el cáncer de un paciente a otro, por qué dos pacientes con el que parece el mismo cáncer responden de forma distinta al mismo tratamiento», añade Peter Campbell, del Wellcome Sanger Institute (Reino Unido). Un ejemplo es la influencia que el tabaquismo puede tener en estas mutaciones. «El genoma tiene unos patrones. Con estudios gigantescos podemos identificar esos patrones para afinar el diagnóstico y el tratamiento», apunta.

'Vejez' de los tumores

Uno de los puntos más sorprendentes del informe es que el proceso de desarrollo de algunos cánceres puede iniciarse años antes del diagnóstico, a veces incluso en la infancia. «Esto muestra que la ventana para una intervención precoz es mucho más amplia de lo que se pensaba», afirma Campbell. Estos trabajos también muestran que desde el punto de vista genético, los cánceres que afectan a diferentes partes del cuerpo pueden tener más puntos en común de lo que se pensaba.

«Podemos desarrollar nuevas herramientas para detectar el cáncer antes, desarrollar terapias más específicas y tratar a los pacientes con más éxito»

«Por ejemplo, puede haber algunos cánceres de mama y de próstata en los que las mutaciones son similares», según Joachim Weischenfeldt, de la Universidad de Copenhague. «Esto quiere decir que a un paciente afectado por un cáncer de próstata se le podría administrar el mismo tratamiento que el que se administra habitualmente a una paciente aquejada de un cáncer de mama», sostiene. «Si logramos comprender lo que ocurre en nuestros órganos cuando envejecemos, lo que provoca la acumulación de mutaciones genéticas y en qué medida el modo de vida puede hacer inclinar la balanza, podremos contemplar formas de intervención precoces, con el fin de prevenir o ralentizar la emergencia de cánceres difíciles de curar», dice Campbell.

Publicidad

Publicidad

Publicidad

Publicidad

Esta funcionalidad es exclusiva para suscriptores.

Reporta un error en esta noticia

* Campos obligatorios

laverdad Un estudio sin precedentes abre la posibilidad de detectar el cáncer antes de que aparezca

Un estudio sin precedentes abre la posibilidad de detectar el cáncer antes de que aparezca