Borrar
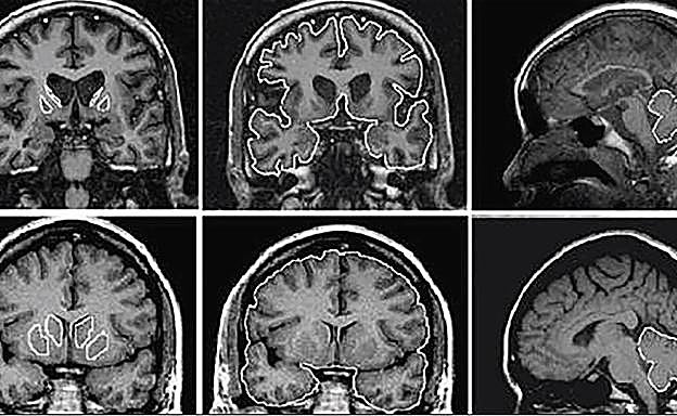
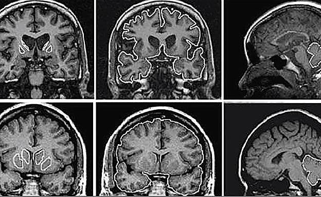
Imágenes de un cerebro afectado por la enfermedad de Huntington (arriba) y abajo, un cerebro sano. R.C.

Científicos británicos descubren un fármaco que frena el mal de Huntington

El hallazgo 'corrige' un error del ADN y reduce las proteínas tóxicas que desgastan las células cerebrales

J. Luis Alvarez

Madrid

Martes, 12 de diciembre 2017, 00:14

Comenta

Un equipo de investigadores británicos ha descubierto un fármaco que consigue frenar la enfermedad de Huntington. El tratamiento detiene la afección degenerativa de las células cerebrales, un hallazgo que también abre la puerta nuevos fármacos para frenar otras afecciones de este tipo como el mal de Alzhéimer o el de Parkinson.

La enfermedad de Huntington es un 'cóctel' agravado de las dos anteriores, ya que presenta todos sus síntomas y consecuencias, y además suma la afección neuromotora. El paciente sufre una pérdida de la capacidad intelectual y de las facultades emocionales y la falta de control sobre los movimientos. Esto convierte al huntington en una de las afecciones neurodegenerativas más devastadoras.

Hasta ahora solo era posible tratarla con fármacos paliativos, lo que no impedía el avance de una afección que acababa con la vida del paciente. Además, los hijos de los enfermos tienen un 50% de posibilidades de sufrirla en un futuro. Por todo ello, los expertos dicen que este descubrimiento «es el mayor avance en enfermedades neurodegenerativas de los últimos 50 años». Lo que el equipo del Centro de Huntington de la University College de Londres (UCL) ha conseguido es un fármaco que reduce las proteínas tóxicas que atacan las células cerebrales.

La enfermedad es causada por un error en una sección de ADN encargada de producir el gen huntington. Este es el responsable de la formación de la llamada huntingtina, una proteína que alimenta las células cerebrales. Sin embargo, en los pacientes que sufren la enfermedad, esta proteína se corrompe y en lugar de nutrir a las células, lo que hace es acabar con ellas. El nuevo fármaco se encarga de aislar ese error en el ADN, por lo que detiene el avance de la enfermedad.

El 'inis-httrx', como se denomina el fármaco, fue inyectado en 46 pacientes. En declaraciones al rotativo británico 'The Guardian', Sarah Tabrizi, directora del Centro de Huntington y responsable del ensayo de fase 1, destacó que los resultados fueron «más allá de lo que esperaba». «Son de una importancia fundamental para los pacientes con enfermedad de Huntington y sus familias. La mayoría de nuestros pacientes saben lo que les va a ocurrir si no son tratados», aseguró Ed Wild, neurólogo consultor y científico de la UCL en el Hospital Nacional de Neurología y Neurocirugía y responsable de la administración del medicamento en el ensayo.

Diagnóstico rápido

Detectar los síntomas de la enfermedad de Huntington es el gran reto. Pueden confundirse en un principio con algún trastorno depresivo, dado que el paciente sufre cambios de humor, enojo y apatía. A diferencia del alzhéimer o el parkinson, que afectan a personas maduras, el huntington se hace presente en pacientes de entre 30 y 40 años.

Tras los primeros trastornos, los enfermos van quedando incapacitados en sus movimientos y su comportamiento para después anular su memoria y la capacidad para razonar. La rapidez del diagnóstico pleno es importante, dado que la esperanza de vida es de entre 10 y 20 años después de que comienzan los síntomas.

Por el momento, según 'The Guardian', este descubrimiento ha llamado la atención de la multinacional farmacéutica suiza Roche, que ha pagado unos 38 millones de euros para realizar un ensayo clínico con el nuevo medicamento.

Publicidad

Publicidad

Publicidad

Publicidad

Esta funcionalidad es exclusiva para suscriptores.

Reporta un error en esta noticia

* Campos obligatorios

laverdad Científicos británicos descubren un fármaco que frena el mal de Huntington

Científicos británicos descubren un fármaco que frena el mal de Huntington